
3 natural treatments for heel spur relief
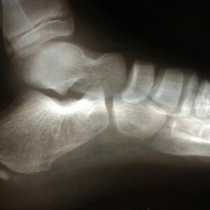
Commonly affecting athletes who frequent activities include running and jumping, heel spur is caused due to calcium deposits on the underside of the heel bone. The symptoms include inflammation of tissues and tendons near the spur, pain while walking or jogging, formation of calluses, swelling or redness of the affected part of the heel.
Read More 






